Dentures
What are dentures?
Dentures help to restore a patient’s smile and the ability to chew and speak clearly after some or all teeth are lost. At Srinivasam Dental, we pride ourselves on using a revolutionary processing technique to fabricate high strength complete and partial dentures, resulting in the highest strength, durability and esthetics. We also specialize in fabricating complete or partial overdentures, where we use dental implants to anchor the denture more effectively providing our patients with a greater sense of comfort with better function.
Steps to a Gorgeous Smile
Step 1
Our team will assess your mouth and help you decide if a denture is appropriate for you.
Step 2
Denture fabrication usually takes about 4-5 visits, spread over a 2 week period. However, this can be completed on a much shorter time on request (3 days).
Step 3
A perfect custom made denture is placed in your mouth, and you will be taught how to use and maintain your new smile.
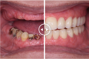
Gallery
Benefits of Dentures
Dentures restore your ability to chew and speak properly while improving facial structure and appearance. They prevent the sunken look that can occur after tooth loss and help maintain proper jaw alignment. Modern dentures are designed with advanced materials that offer durability, comfort, and a natural look.Most importantly, dentures help regain your confidence by giving you a complete and beautiful smile.
Care and Maintenance
Proper care is essential to extend the life of your dentures. They should be cleaned daily using a soft brush and denture cleanser to remove food particles and plaque. Dentures should be removed at night to allow your gums to rest. Regular dental check-ups are important to ensure the dentures continue to fit properly and to maintain overall oral health.
With proper maintenance and periodic adjustments, dentures can provide long-lasting comfort and functionality.
Want to schedule an appointment?
Appointment
