Full Mouth Rehabilitation
Full Mouth Rehabilitation
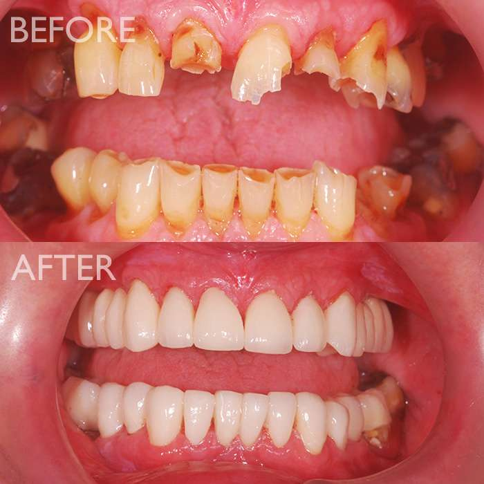
Sometimes, the poor condition of the remaining teeth in the mouth warrants a total overhaul – this is known as a full mouth rehabilitation, or a full arch rehabilitation (single jaw). In this process, we try to preserve existing teeth in most cases. If teeth are absent, then we use dental implants to replace the missing teeth. In a few short weeks, a smile can be transformed from non-existent to dazzling!
Achieve that Dream Smile
Step 1
The expert team will assess your needs in a detailed consultation.
Step 2
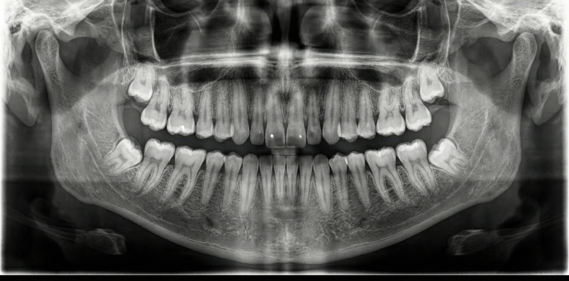
After taking the initial records – photos, xrays and measurements of your teeth – we will have a detailed consultation explaining the entire process in detail.
Step 3
In a few short weeks – be ready to greet the world with your brand new smile!
Gallery
Who Needs Full Mouth Rehabilitation?
Full mouth rehabilitation is ideal for individuals who suffer from extensive tooth damage due to decay, trauma, grinding (bruxism), long-term neglect, or congenital conditions. Patients experiencing chronic jaw pain, difficulty chewing, frequent headaches, or severely worn teeth may benefit from this advanced restorative approach. A detailed dental examination helps determine whether this treatment is suitable for you.
Benefits of Full Mouth Rehabilitation
This treatment significantly improves oral function, allowing you to chew and speak comfortably. It restores the natural appearance of your smile while improving facial support and structure. Full mouth rehabilitation also prevents further dental complications and enhances overall oral health. Most importantly, it boosts confidence by providing a strong, healthy, and beautiful smile.
Why Choose Sri Srinivasam Dental Hospital?
At Sri Srinivasam Dental Hospital, we provide comprehensive full mouth rehabilitation using advanced technology and high-quality materials. Our experienced dental specialists carefully assess your condition and design a customized treatment plan tailored to your needs. We focus on delivering long-lasting, natural-looking results while ensuring maximum comfort and safety throughout the treatment journey.
Full Mouth Rehabilitation – FAQs
Want to schedule an appointment?
Appointment
