Fillings
Fillings
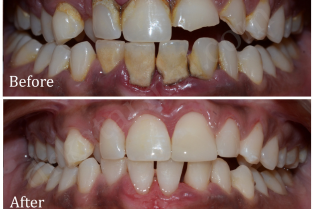
A dental filling, also known as a bonding, is a tooth coloured restorative material placed into damaged or broken parts of the tooth. This damage could have occurred due to cavities, or due to trauma, such as a fall. The tooth is cleaned and the filling is placed to mimic the original appearance of the tooth. It is almost impossible to differentiate between the natural tooth and the filling.
Steps to a perfect filling
Step 1
Our team assess your teeth and makes sure that a filling will work for you. Typically, smaller cavities and defects are best managed with a filling. Larger defects may need an inlay, onlay or crown.
Step 2
The tooth is thoroughly cleaned to remove all remaining cavities. A filling material that matches your tooth colour is placed on the tooth.
Step 3
A blue light is used to make the filling material “set”. The bite is adjusted to make sure you’re comfortable, and you are good to go!
Gallery
When Do You Need a Filling?
You may need a dental filling if you have tooth decay, sensitivity to hot or cold foods, pain while chewing, or visible holes or dark spots on your teeth. Sometimes cavities may not cause noticeable symptoms, which is why regular dental check-ups are important. Early detection allows for simple and painless treatment before the problem worsens.
Benefits of Dental Fillings
Dental fillings stop the progression of decay and restore the tooth’s strength and function. They help relieve pain and sensitivity while preventing the need for more extensive treatments such as root canal therapy or extractions. Modern tooth-colored fillings provide a natural appearance, ensuring your smile remains attractive and healthy.
Aftercare and Maintenance
After getting a filling, it is important to maintain good oral hygiene by brushing twice daily, flossing regularly, and attending routine dental check-ups. Avoid biting hard objects to protect the filling. With proper care, dental fillings can last many years and maintain the health of your teeth.
Fillings – FAQs
- 1. You must brush your teeth at least twice a day with a fluoridated toothpaste. Flossing is essential after brushing to prevent accumulation of food in between teeth. Make sure you rinse your mouth with water after every meal or snack.
- 2. Use of a fluoride mouthwash twice daily after brushing can aid in added protection against tooth decay.
- 3. Visit our dentists at Srinivasam Dental regularly at least once every 6 months for a complete clinical check-up and teeth cleaning to detect tooth decay at an incipient stage.
- 4. Dental sealants can be applied to seal the grooves where food can get trapped easily.
- 5. This helps in preventing tooth decay. Our team doctors can educate you on this.
- 6. Drink plenty of water to avoid dehydration of the mouth. A dry mouth is more susceptible to develop dental caries.
- 7. You must include fresh fruits and vegetables, cheese, unsweetened tea or coffee in your diet. Dairy products and almonds contain high levels of calcium which is good for your teeth. Avoid soda, added sugar and junk foods.
- 8. Chewing sugar-free gums can help you fight plaque as they contain Xylitol. Xylitol stimulates saliva which aids in keeping our teeth clean.
Want to schedule an appointment?
Appointment
